プレミアムダイヤモンド
セラミック
強さ、美しさ、しなやかさを兼ねそろえたセラミックNo.1素材

セラミック矯正症例数 本※末現在
セラミック矯正なら
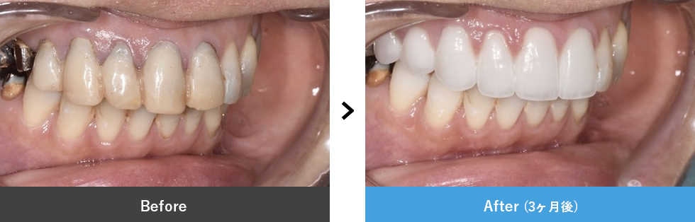
虫歯だらけの歯でもキレイに治療できます

Before
After

Before
After


本※
※末現在




セラミック矯正とは、歯並びを改善したい歯(場合によってはその隣りの歯)を削って、歯にかぶせ物をすることで歯並び、歯の形を整える矯正治療です。
セラミック矯正では、保険診療で用いられるような色調の異なる人工歯は使用せず、自然に違い色合いに調整できます。また、部分的な歯並びの歯科矯正も行うことができます。
当クリニックは単なる見た目だけの治療ではなく、歯の長期的健康を見据えたセラミック矯正を行っております。
セラミック矯正は、一般に差し歯や被せ物のことをいいます。
素材には色々あり、古くから金や銀といった金属が使われてきましたが、金属アレルギーや美容的考え方により最近は使われなくなってきました。
金属の差し歯を使用すると、時間が経つと歯の付け根が黒くなったりしてしまいます。いくら歯を磨いても決してなおりません。この原因は、差し歯に使われた金属が溶け出して歯や歯茎に吸収され酸化されて錆びて黒くなってしまうからなのです。
しかし、現在の歯科医療では、金属が溶け出し歯や歯茎が黒くなるようなリスクを避け、透明感のある美しい差し歯をセラミックで実現できます。

セラミックは陶器の構成成分である陶材のことであり、有名なWedgeWoodやNoritakeのカップや食器は陶材でできています。陶材はきれいな白さや光の透過性を持つ材質で、人工的に歯を再現するのに最も優れた材料です。30年以上前から使用され、近年は材質の進歩に伴い、咬むという強い力にも壊れにくく使用できるようになりました。

当院では、機能性だけでなくデザインの高さを両立を目指しており、
歯の大きさ、形、角度、位置、色、透明感、など
一人一人にあわせた提案を行っております。
セラミック矯正は、歯を削りセラミックの被せ物で歯並びを整える方法で、ワイヤー矯正は、ブラケットとワイヤーで歯を徐々に動かす方法です。
ワイヤー矯正は約1~2年の治療期間を要するのに対し、セラミック矯正は矯正器具が不要で最短3週間で治療が完了するのがメリットですが、健康な歯を削る必要がある点がデメリットです。
ご自身に最適な矯正方法を選ぶためにも、まずはクリニックにてカウンセリングを受けてみましょう。
メリット.1
ワイヤーによる矯正が平均2年以上かかるのに対し、セラミック矯正は1~3か月以内と数か月で完了することが多いです。
結婚式など急ぎのイベントにも最適です。


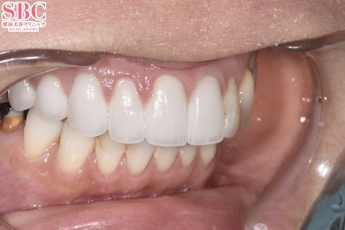
仮歯でこの仕上がり
1回の治療で劇的変化!

メリット.2
セラミック矯正は歯並びだけでなく、色・形・大きさ・角度など一人一人に合わせて整えることができます。

メリット.3
審美性の高いセラミッククラウンは、部分矯正にも最適です。前歯を治したい、気になる2本〜3本だけ治したいという方にもにおすすめです。
ピンポイントの歯並び矯正も可能

他院のかぶせ物修正も可能

メリット.4
セラミック矯正はノンワイヤーで口元も気になりません。矯正中も口元を気にせず会話や食事ができます。

メリット.5
矯正中に痛みがないこともメリットの1つです。ワイヤーによる締め付けや歯が動くことによる痛みは一切ありません。
デメリット.1
セラミック矯正は元々の自分の歯を削って歯の色や形、歯並びを整えます。一度削った歯は元には戻らないため、慎重に検討しましょう。


デメリット.2
歯の状態によっては、歯を多く削る必要があり、先に神経を抜いて治療をおこなうこともあります。神経は本来残すのが良いとされるため、当院の実績豊富な歯科医師が慎重に判断します。
デメリット.3
セラミックは被せものです。しっかりお手入れをしないと、虫歯や歯周病のリスクを招きます。また消耗品ゆえに耐久性を維持するためにもメンテナンスは欠かせません。

| 種類 | ダイヤモンドクラウン (ジルコニア) | プレミアムダイヤモンド セラミック | ダイヤモンドオーダー セラミック |
|---|---|---|---|
![]() | ![]() | ![]() | |
| 色展開 | 8色 | 35色 | 無数 |
| 素材 | 耐久性に優れた 100%人工ダイヤモンド (ジルコニア) ※グラデーション | 強度の高い人工ダイヤのフレームに審美性に優れたセラミックを焼き付けている | 強度の高い人工ダイヤのフレームに審美性に優れたセラミックを焼き付けている |
| 審美性 | ★★★★ 自然な歯に近いが色展開が8色 | ★★★★★ 自然な歯に近い | ★★★★★ 自然な歯に近い |
| 耐久性 | ★★★★ | ★★★★ | ★★★★ |
| 1本 | 89,800円 |
|---|---|
| 4本 | 336,000円 |
| 6本 | 450,000円 |
※前歯・小臼歯神経治療・土台・芯・仮歯込の価格になります。
| 1本 | 150,000円 |
|---|---|
| 4本 | 560,000円 |
| 6本 | 780,000円 |
| 8本 | 980,000円 |
※前歯・小臼歯神経治療・土台・芯・仮歯込の価格になります。
その他料金
| 1本 | 5,000円 |
|---|
| 1本 | 17,000円 |
|---|
| 1本 | 10,000円 |
|---|
| 1本 | 9,000円 |
|---|
| 前歯・小臼歯 1本 | 9,000円 |
|---|---|
| 大臼歯 1本 | 19,000円 |
| 1本 | 14,000円 |
|---|
| 1本 | 25,000円 |
|---|
| 片顎 | 42,000円 |
|---|
1回目 (初診)






2回目 (初診から1〜2週間後)

3回目 (2回目から1〜10週間後)

治療完了後

Q
A
治療なされる歯の状態や本数により治療に必要となるお時間は変わりますが、虫歯の進行により神経の治療が必要な場合はセラミックを被せた後に歯の中に残る細菌により虫歯が再発しないように治療行程が増えるため治療に2~3か月ほどかかります。神経の治療が不要な場合、1~1か月半ほどとなります。歯の型取りをしてからセラミッククラウンが仕上がるまでに、2週間ほどお時間が必要となります。お急ぎの際にはカウンセリング時にご相談くださいませ。
Q
A
セラミックという材質そのものがガラスや陶器のような素材のため、欠ける可能性は考えられます。しかし、一般的にセラミックが壊れることよりも、セラミックを支える歯が虫歯や歯周病により再治療が必要になるケースがほとんどですので、定期的なメンテナンスやご自宅での歯磨きなどのケアによりセラミックをより長期に渡りご使用いただけます。
Q
A
セラミックは色や透明感、艶など天然の歯に近い審美治療に適した最高の素材です。食べ物を噛む際に働く力に耐えることのできる強度と、天然歯よりも摩耗しにくい硬度を持っており、歯を再現するにあたりとても優れた素材です。長期使用しても変色することもなく、加工しやすい性質から患者様に合わせた歯を作ることができます。それにより違和感もないため、治療後は新しいご自分の歯としてご使用いただけます。
Q
A
セラミック製の被せ物や詰め物には幾つかの種類があり、それぞれにメリットとデメリットがあります。奥歯であれば、硬いものを噛むためオールセラミックだと割れるリスクが大きくなります。そのため、メタルボンドやプレミアムダイヤモンドセラミックを用いることが多いです。前歯は硬いものを噛む機会が少なく、奥歯に比べて噛む力が弱いため割れるリスクも少なくなるため、オールセラミックでの治療を行うことで天然歯に近く見た目の美しい歯に仕上げることができます。
Q
A
セラミックは、一般的にお皿などで使われている陶器のようなものです。水分は吸収せずに変色もしないので、白く美しい歯を保つことができます。当院取り扱いのセラミック素材はプラスティックや金属を使用しないため、自然な白さ、透明感を実現できます。
Q
A
施術自体は可能ですが、噛み合わせの観点より奨励していません。歯並びは上の歯と下の歯で一揃えとなっているため、片方の歯並びのみ整えると、もともとの噛み合わせと異なり、トラブルが発生する可能性がございます。当院では、歯並び全体のバランスや噛み合わせを考慮し、患者様に寄り添った計画をお立てします。
Q
A
1本あたり9万円~15万円程度になり、数本おこなう場合はトータルで30万円~80万円程度になる可能性があります。
Q
A
セラミックの被せ物をした歯でも基本的に矯正は可能です。矯正治療が可能かどうかは、歯そのものではなく、歯を支えている歯茎や骨(歯周組織)が健康な状態かどうかが重要になります。そのため、ワイヤー矯正やマウスピース矯正のような本格的な歯列矯正をおこなうことはできます。



皆さんこんにちは。湘南美容歯科の前田です。
セラミック矯正は歯並びだけではなく、歯の色や形まで改善が可能な治療です。我々SBC歯科グループが行なっているセラミック矯正はとにかくスピードと質にこだわっております。
スピードに関しては1回目の施術でセラミックを想定した仮歯が入ります。ですので最初のご来院でお悩みを大きく改善する事が可能です。これはその場ですぐに仮歯を作る技術をドクター、スタッフともに習得し日々努力を重ねております。
そして質に関してはより優れたトップセラミストと呼ばれる歯科技工士と連携を図り高品質なセラミックをご提供させていただいております。中でもダイヤモンドオーダーセラミックは実際にセラミックを作る技工士が直接立ち会うことで、患者様のご希望にそった歯並び、色、形を再現できる最高のプランです。
湘南歯科グループは歯科に携わるすべての業種と強く連携をとる事で患者様の抱えているコンプレックスやお悩みを最大限に解消する事を使命として日々取り組んでおります。
皆様のご来院をスタッフ一同心よりお待ちしております。

歯科統括院長
安心して歯科治療を受けていただくために
当院では痛みが怖い方にも安心して心地の良い治療をうけていただくために、 患者様の痛みを極限までなくすことにとことんこだわっています。