NEOエナメル

担当医:前田純(歯科) 医師
1本(通常価格)
定価 150,000 円
1本(モニター価格)
定価 120,000 円
- 高い透明感と全24色の豊富な色展開で、自然な見た目と理想の白さを再現
- 歯の表面を最小限に整えるだけで装着可能なため、健康な歯をほとんど削らずに治療できる
- 3年間の無料保証が付いており、トラブルが起きた際も安心してサポートを受けられる


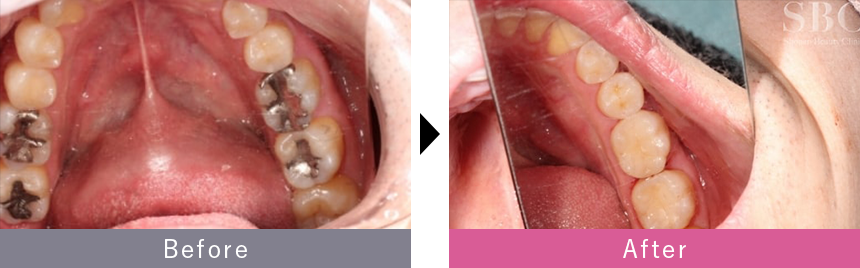
セラミック治療とは、虫歯や欠けた歯をセラミック素材で補う審美歯科治療です。透明感のある仕上がりで、口元の印象をより美しく見せてくれます。見た目の美しさと機能性を両立できることから、多くの人に選ばれています。
また近年では、健康な歯をほとんど削らずに美しい仕上がりを実現できる「ラミネートべニア」の人気が高まっています。当院でも、セラミッククラウンのデメリットを補う治療法として積極的に取り入れています。
歯の変色や黄ばみが気になる方
歯の形や大きさの不揃いが気になる方
自然な歯に見せたい方
金属アレルギーの方
すきっ歯や出っ歯などの歯並びの悪さを短期間で整えたい方
自然な白い歯を長く維持したい方
虫歯になりにくい歯にしたい方
矯正治療以外の方法で歯並びを改善したい方
銀歯を白い歯に変えたい方
結婚式やイベント前に歯の印象を整えたい方
美容医療に取り組んできたが、歯のケアはまだできていない方
セラミック治療はしたいけど健康な歯を削りたくない方
湘南美容歯科のセラミック治療では、ラミネートべニア、セラミック矯正、セラミックインレーの3施術をご提供しております。
歯の表面をごく薄く削り、セラミック製の薄いシェル(板)を貼り付けて色や形を整える治療です。すきっ歯や変色、軽度の歯並びの乱れを、歯を大きく削らずに自然に改善できます。
湘南美容歯科のセラミック矯正は、歯を必要に応じて削り、セラミック製の被せ物を装着して歯の形・大きさ・角度を整える治療です。ワイヤー矯正のように時間をかけず、短期間で歯並びと白さを同時に改善できるのが特徴です。
湘南美容歯科のセラミックインレーは、虫歯などで削った部分にセラミックを詰める治療で、天然歯に近い見た目と耐久性を持つ部分的な修復法です。





まずは無料カウンセリングで、セラミック治療の流れや費用について詳しくご説明します。患者さまのご希望や不安をお聞きし、納得して治療を受けられるようサポートいたします。

咬み合わせや歯並び、あごの関節の状態を含め、レントゲンやCTでお口の状態を詳しく検査します。虫歯や歯根、骨の状態まで正確に診断し、安全で確実なセラミック矯正につなげます。

カウンセリングと検査結果をもとに、ドクターとカウンセラーが患者さまに最適な治療計画をご提案します。治療内容や期間、費用もわかりやすくご説明し、ご理解・ご同意のうえで治療を開始します。

歯の周りを整え、セラミッククラウンを装着できる状態にします。仮歯を装着し、噛み合わせや形を確認しながら慎重に調整します。

必要に応じて根っこの治療を行い、虫歯や欠けた歯をしっかり整えます。歯が残りにくい場合は、人工の土台(コア)を作ってセラミックを支える準備をします。

型取りによって歯の状態を確認し、この段階でセラミックの色や形を決めます。決まったデザインに沿って、精度の高いセラミックを作製します。

被せ物の装着後、色・形・咬み合わせを最終確認し治療を終了します。耐久性の高いセラミックでも、定期的なメンテナンスでより長く快適に使用できます。

| 所要時間 (初回カウンセリング~検査) | 1時間〜2時間程度 |
|---|---|
| 治療時間 | 1回の治療は1本あたり30分〜2時間程度 |
| 通院回数 | 通常は 2〜3回 (神経処置や土台作成が必要な場合は 4回以上 かかる場合も) |
| 腫れ | ほとんどない (歯ぐきの整形や抜歯を伴う場合に軽い腫れや違和感が出ることあり) |
| 運動・入浴・飲酒 | 治療当日の 激しい運動・入浴・飲酒は控えた方が良い (翌日以降は問題なし) |
| リスク |
|
| 副作用 |
|
セラミック治療は健康保険が適用されない自費治療のため、費用はやや高くなります。
その分、自然な見た目や精密な仕上がりを追求できます。
一方で、セラミックは強い衝撃や噛み合わせによって割れることがあるため、
歯ぎしりや硬い食べ物に注意が必要です。
定期的なチェックや必要に応じたマウスピースの使用で、長く美しい状態を保つことができます。
Q
A
セラミックはガラスや陶器のような素材のため欠ける可能性はありますが、適切なケアや定期的なメンテナンスを行えば長期間使用できます。
Q
A
湘南美容歯科ではプラスチックや金属素材は使わないため、長期間変色せず自然な白さを保てます。オールセラミックにより歯の裏面や内部まで白くできるため、透明感のある美しい歯を維持できます。
Q
A
歯ぎしりや食いしばりによって他の歯がすり減る影響を与える可能性がありますが、適切な噛み合わせ調整や定期的なメンテナンスで、周囲の歯への影響を最小限に抑えることができます。
Q
A
セラミック治療では、削った歯に型を取り装着するため、通常はほとんど痛みを感じません。ただし、歯の神経(歯髄)に近い部分を触る場合は痛みが出ることがあるため、その際は麻酔を行って治療します。
Q
A
湘南美容歯科では、他院で装着された被せものの修正ややり直しも可能です。状態に応じて適切な調整や再作製を行い、快適で自然な噛み心地を取り戻せます。
当院では痛みが怖い方にも安心して心地の良い治療をうけていただくために、 患者様の痛みを極限までなくすことにとことんこだわっています。

歯科統括院長
前田 純 医師