- Step
無料カウンセリング
まずは無料カウンセリングで、セラミック治療の流れや費用について詳しくご説明します。患者さまのご希望や不安をお聞きし、納得して治療を受けられるようサポートいたします。

- Step
口腔内の状態検査(レントゲン検査・CT検査)
咬み合わせや歯並び、あごの関節の状態を含め、レントゲンやCTでお口の状態を詳しく検査します。虫歯や歯根、骨の状態まで正確に診断し、安全で確実なセラミック矯正につなげます。

- Step
ドクター・カウンセラーとの治療計画
カウンセリングと検査結果をもとに、ドクターとカウンセラーが患者さまに最適な治療計画をご提案します。治療内容や期間、費用もわかりやすくご説明し、ご理解・ご同意のうえで治療を開始します。

- Step
歯を削り嚙み合わせ・形の調整
歯の周りを整え、セラミッククラウンを装着できる状態にします。仮歯を装着し、噛み合わせや形を確認しながら慎重に調整します。

- Step
根っこの治療(必要な場合)
必要に応じて根っこの治療を行い、虫歯や欠けた歯をしっかり整えます。歯が残りにくい場合は、人工の土台(コア)を作ってセラミックを支える準備をします。

- Step
型取り
型取りによって歯の状態を確認し、この段階でセラミックの色や形を決めます。決まったデザインに沿って、精度の高いセラミックを作製します。

- Step
本歯の装着
被せ物の装着後、色・形・咬み合わせを最終確認し治療を終了します。耐久性の高いセラミックでも、定期的なメンテナンスでより長く快適に使用できます。

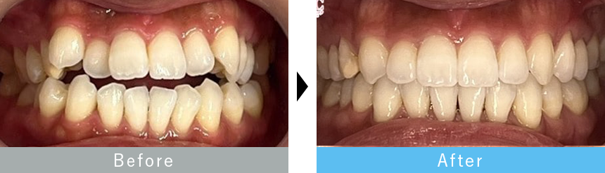
開咬(オープンバイト)の矯正・治療

開咬(オープンバイト)の
ピックアップ症例
開咬(オープンバイト)とは

開咬とは、前歯が閉じず、常に上下前歯の間に隙間が空いている咬み合わせのことです。
食事の際は奥歯だけで噛むため、前歯で物を噛み切ることができません。
また、口が常に開いてしまことや、口元が突出して見えることで悩む人も少なくありません。開咬は見た目だけでなく、細菌が発生しやすい状態となるため健康面でもリスクがあり、矯正治療が必要とされる不正咬合の一つです。
開咬(オープンバイト)に
なる原因
開咬になる原因は、生まれつきや遺伝などの先天的な要因と、
習慣や癖による後天的要因があります。
先天的要因
遺伝による骨格の異常
前歯が正常に生えてこず開咬となった場合は遺伝による原因が考えられます。
舌の形態
舌裏にあるスジが短い舌小帯短縮症(ぜつしょうたいたいしゅくしょう)と呼ばれる症状も開咬になる要因のひとつです。
後天的要因
舌の癖
舌を前歯の隙間に入れる癖は開咬の原因となります。
乳幼児期の舌習慣・指しゃぶり
乳児期の母乳を飲む際に舌をこすり合わせて飲む習慣が続いてしまうことや、幼少期の指しゃぶりやおしゃぶりが開咬につながります。
口呼吸
口呼吸を続けると口周りの筋肉のバランスが崩れ、上顎や下顎の成長に悪影響を与えることがあり、その結果、開咬を引き起こすことがあります。
開咬(オープンバイト)による
リスク
コンプレックスになる
- オープンバイトによって意識をしないと口がぽかんと開いたままになったり、前歯が閉じられないことから、コンプレックスに繋がる場合があります。
滑舌が悪くなる
- 前歯に隙間があるため空気が漏れてしまい、滑舌に影響があります。特に「サ行」「タ行」が言いづらくなりがちです。
咀嚼がしにくい
- 前歯に隙間があることによって前歯では思うように咀嚼することができません。そのため、前歯でかぶりつく食べ物は食べにくく、ストレスが生じます。
奥歯に負荷がかかりやすい
- 奥歯ばかりで噛むことで必要以上に奥歯へ負担がかかることになります。その結果、奥歯が割れる・欠けるといったリスクも考えられます。
虫歯や歯周病が繁殖しやすい
- 口が常に開いていることで口腔内が乾燥し唾液がなくなってしまいます。その結果、細菌が発生しやすい状態となるため、虫歯や歯周病になるリスクが高まります。
さらに、口呼吸によるウイルス感染のリスクや口臭が強くなる恐れもあります。
開咬(オープンバイト)の
矯正方法
大人の場合、開咬(オープンバイト)の治療には歯列矯正が有効です。
開咬(オープンバイト)の主な矯正方法は、マウスピース矯正・セラミック矯正・ワイヤー矯正があります。
また骨格性の受け口の場合は、セットバックという外科施術が適していることもあります。
マウスピース矯正
マウスピース矯正は、透明なマウスピースを使用して歯並びを整える矯正方法です。
精密検査を基に治療計画を立て、オーダーメイドで作成したマウスピースを段階的に交換しながら歯を動かしていきます。透明で目立ちにくいため、接客業や営業職など、人と接する機会が多い方にも適しており、大人におすすめの治療法です。
マウスピース矯正のポイント

POINT
見た目が
目立たない
矯正装置
POINT
金属不使用

POINT
矯正を
気にせず
食事可能
マウスピース矯正は
こんな人におすすめ
- 見た目を気にせず歯列矯正をおこないたい方
- 金属アレルギーだけど歯並びにお悩みの方
- 痛くない歯列矯正をしたい方
- 矯正装置を気にせず食事をしたい方
- 歯のホワイトニングもしたい方
セラミック治療
セラミック治療は、気になる歯やその周辺を削り、セラミックの被せ物で歯並びを整える治療法です。
歯を動かす従来の矯正とは異なり、軽度の歯並びの問題であれば最短1日で美しい仕上がりを実現できます。
歯並びだけでなく、歯の大きさや形、角度、色、透明感まで細かく調整できる点が特徴です。
セラミック治療のポイント

POINT
短期間で
矯正が完了
POINT
白い歯の
獲得を実現
POINT
痛みの
少ない矯正
セラミック治療は
こんな人におすすめ
- 重要なイベント前に矯正を終えたい方
- 歯の色を白くしたい方
- 歯の形を綺麗にしたい方
- 差し歯や銀歯ではなくもっと綺麗な歯にしたい方
- 痛みの少ない治療をしたい方
その他の矯正・治療方法

ワイヤー矯正
ワイヤー矯正は、歯に金属製の装置を装着して歯並びを整える治療法です。特に、歯を大きく動かす必要がある重度のケースに適しています。ただし、装置が歯の表面に取り付けられるため、ワイヤーが目立ちやすいという欠点があります。
※当院では取り扱いを終了しました。

裏側矯正
裏側矯正は、歯の裏側に装置を装着するタイプのワイヤー矯正です。装置が見えにくいため、見た目を重視する方に適しています。ただし、技術的に難易度が高いため費用が割高になり、装着後は取り外しが難しく、歯磨きがしづらいといったケアの負担がある点がデメリットです。
※当院では取り扱いを終了しました。
矯正方法の比較表
マウスピース矯正・セラミック矯正・ワイヤー矯正の、
それぞれの特徴を以下の比較表でまとめました。
| 種類 | マウスピース矯正 | セラミック治療 | ワイヤー矯正 |
|---|---|---|---|
| 見た目 | |||
| 適応症例 | |||
| 治療期間 | |||
| 費用 | |||
| 体への 負担 |
開咬(オープンバイト)の矯正の流れ
無料カウンセリング

診察・検査

治療開始
約3週間後に治療を開始いたします。

経過観察
治療計画通りに進んでいるかは、実際にお口の中を見る事が重要です。

出っ歯(上顎前突)の矯正の料金
マウスピース矯正の料金
クリアコレクトMINI
| 303,000円 支払いシミュレーションはこちら |
| 288,000円 支払いシミュレーションはこちら |
| 軽度症例 (片顎) | 315,000円 支払いシミュレーションはこちら |
|---|---|
| 293,500円 支払いシミュレーションはこちら | |
| 軽度症例 (両顎) | 355,500円 支払いシミュレーションはこちら |
| 335,500円 支払いシミュレーションはこちら |
| 両顎 | 528,000円 支払いシミュレーションはこちら |
|---|---|
| 498,000円 支払いシミュレーションはこちら |
| インビザライン フル3 | 713,500円 支払いシミュレーションはこちら |
|---|---|
| 693,500円 支払いシミュレーションはこちら | |
| インビザライン フル5 | 953,500円 支払いシミュレーションはこちら |
| 923,500円 支払いシミュレーションはこちら |
セラミック治療の料金
| 1本 | 89,800円 支払いシミュレーションはこちら モニター価格79,800円 支払いシミュレーションはこちら |
|---|---|
| 4本 | 336,000円 支払いシミュレーションはこちら モニター価格298,000円 支払いシミュレーションはこちら |
| 6本 | 450,000円 支払いシミュレーションはこちら モニター価格369,000円 支払いシミュレーションはこちら |
※前歯・小臼歯神経治療・土台・芯・仮歯込の価格になります。
※症状により、感染根管処置(14,000円/本)が必要となります。
| 1本 | 150,000円 支払いシミュレーションはこちら モニター価格125,000円 支払いシミュレーションはこちら |
|---|---|
| 4本 | 560,000円 支払いシミュレーションはこちら モニター価格480,000円 支払いシミュレーションはこちら |
| 6本 | 780,000円 支払いシミュレーションはこちら モニター価格690,000円 支払いシミュレーションはこちら |
| 8本 | 980,000円 支払いシミュレーションはこちら モニター価格880,000円 支払いシミュレーションはこちら |
※前歯・小臼歯神経治療・土台・芯・仮歯込の価格になります。
※症状により、感染根管処置(14,000円/本)が必要となります。
開咬(オープンバイト)矯正のよくある質問
開咬の矯正費用はいくらかかりますか?
開咬の状態が軽度の場合は、部分矯正で40万円程度、全体矯正で52〜100万円程度かかります。
セラミック治療で治療をおこなう場合は、30〜80万円程度となります。
開咬の治療期間はどのくらいですか?
装置装着機関・保定期間を含め、部分矯正の場合は半年~1年程度、全体矯正では2年半~3年程度かかります。
一方、セラミック治療では、開咬の状態によって異なりますが、平均としての治療期間は1~2か月程度となります。
開咬が歯列矯正で治らない場合はありますか?
骨格性の開咬は、歯列矯正で改善できない場合があります。
その場合はセットバックと呼ばれる外科手術が適応となります。
開咬は自力で治せますか?
開咬は自力で治すことはできません。特に成人は顎の発達が完了しているため、歯科医師の診察のもと、マウスピース矯正やセラミック治療などの適切な歯列矯正で治療を行うことが重要です。
開咬を治さないことのリスクはありますか?
開咬を放置すると、前歯で噛めないため奥歯に過度な負担がかかり、歯が割れる等のリスクがあります。また、口が閉じにくく口内が乾燥しやすいため、虫歯や歯周病、口臭の原因になるほか、咀嚼機能の低下も引き起こします。
ドクターコメント

歯科統括院長
前田純医師
開咬(かいこう)は歯列矯正で改善できます。
開咬の方は、前歯で物を噛み切れないため、食事の際に不便を感じることが多くあります。また、常に口が開きがちなため、見た目にコンプレックスを抱える方も少なくありません。このまま放置すると、咀嚼機能の低下や発音への影響など、健康リスクも生じる可能性があります。
湘南美容歯科では、開咬の治療にマウスピース矯正やセラミック治療を提供しています。患者さま一人ひとりのお悩みやご希望に合わせた最適な治療法をご提案いたします。
開咬にお悩みの方は、ぜひ当院にご相談ください。
歯科統括院長
前田純医師
監修医師紹介

歯科統括院長
- 経歴
- 2009年3月
- 奥羽大学 歯学部歯学科 卒業
- 2011年4月
- 奥羽大学歯学部付属病院 勤務
- 2012年4月
- 一般歯科クリニック 勤務
(2014年7月~同院にて分院長就任)
- 2016年4月
- 湘南美容歯科大阪心斎橋院 勤務開始
- 2016年9月
- 湘南美容歯科名古屋院 院長就任
- 2019年10月
- 湘南美容歯科新宿院 院長就任
- 2026年1月
- 湘南美容歯科大宮院 院長就任























こんなお悩み
ありませんか?